Skip to content
default-logo
  • Beranda
  • Layanan
    • Penyakit Kulit
      • Psoriasis
      • Eksim
      • Dermatitis
      • Herpes Zoster
      • Kandidiasis
      • Tinea
      • Vitiligo
    • Penyakit Kelamin
      • sifilis
      • Gonore
      • Kondiloma
      • Herpes Kelamin
      • Infeksi saluran kemih
      • Infeksi menular seksual
      • Trikomoniasis
    • Andrologi
      • Impotensi
      • Ejakulasi Dini
      • Ejakulasi Tertunda
      • Disfungsi Seksual
      • Gangguan Libido
      • Gangguan Hormon
    • Ginekologi
      • Treatment Kewanitaan
      • Pap Smear
      • Masalah Keputihan
      • Kista Bartholin
    • Estetika Antiaging
      • Slimming Treatment
      • Silkpeel Dermalinfusion
      • Skin Booster
      • Face Contouring
      • Hair Loss Treatment
    • Bedah Plastik & Umum
      • Blepharoplasty – Operasi Kelopak Mata
      • Rhinoplasty – Hidung Mancung
      • Buccal Fat Removal
      • Bedah Nevus/Skin Tag
      • Sunat Laser (Sirkumsisi)
    • Gigi & Mulut
      • Cabut Gigi
      • KLAR Aligner
      • Veneer Gigi
      • Scaling Gigi
      • Gigi Tiruan
      • Implan Gigi
      • Crown Gigi
      • Bridge Gigi
      • Dental Spa
      • Bleaching Gigi
      • Tambal Gigi
      • Perawatan Akar Gigi
      • Behel Gigi
  • Artikel Kesehatan
  • Tentang Kami
    • Dokter
    • Galeri Klinik
    • Profil
    • Kontak
Konsultasi Dokter

Tag: gigi dan mulut

  1. Home
  2. Artikel Kesehatan
  3. gigi dan mulut
gigi berlubang

Gigi Berlubang Bikin Nyeri? Ini Solusi Tepatnya

Read More
gigi kuning

Gigi Kuning Tak Kunjung Hilang? Ini Ini Cara yang Efektif!

Read More
gigi tonggos

Gigi Tonggos Bisa Diperbaiki? Ini Pilihan Perawatannya

Read More
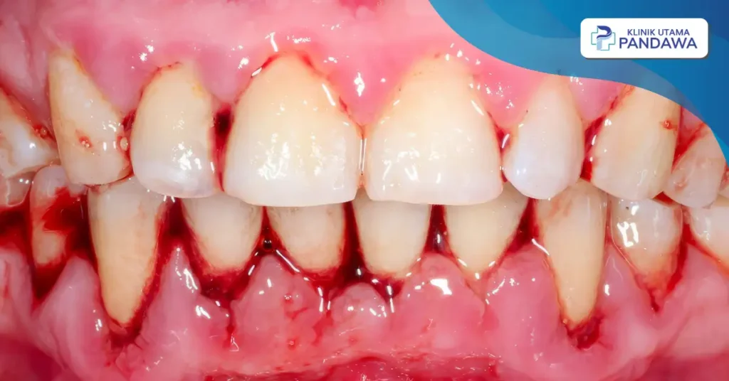
gusi berdarah

Kenapa Gusi Selalu Berdarah Saat Pakai Dental Floss?

Read More
nyeri sakit gigi

Nyeri Gigi Saat Makan Manis? Ini Penyebab Utamanya

Read More
cara menghilangkan sakit gigi berlubang agar tidak kambuh lagi

Cara Menghilangkan Sakit Gigi Berlubang Agar tidak Kambuh lagi

Read More
gingivitis kronis

Gingivitis Kronis: Penyebab, Gejala, dan Cara Atasi

Read More
biaya cabut sisa akar gigi

Mau Cabut Sisa Akar Gigi? Segini Harganya di Klinik Dental Jakarta

Read More
Abses periapikal tanpa sinus

Biaya dan Cara Mengobati Abses Periapikal Tanpa Sinus

Read More

Posts pagination

1 2 3

Konsultasi Cepat, Solusi Tepat!

logo inverts klinik pandawa

Klinik resmi dan legal dengan izin Kemenkes RI. Ditangani langsung oleh Dokter ahli bersertifikat.

Konsultasi Dokter

Konsultasi Sekarang

Lewat WhatsApp

0811-742-777

Konsultasi Online

Ceritakan semua keluhanmu tanpa malu langsung dari Hand Phone Anda

Layanan Utama

Spesialis Kulit & Kelamin

Informasi Klinik

Lokasi

Gedung Baja Tower B, Lt. GF2, Jl. Pangeran Jayakarta No.55, Jakarta Pusat. 10730

Legalitas

Testimonials

Promo Layanan

Galeri Klinik

Layanan Medis

  • Penyakit Kelamin
  • Penyakit Kulit
  • Klinik Andrologi
  • Klinik Ginekologi
  • Estetika & Antiaging
  • Bedah Umum & Plastik
  • Klinik Gigi & Mulut

Copyright © 2025 Klinik Utama Pandawa All Rights Reserved.

Ikuti Kami di

Konsul Dokter Ahlinya
Klinik Utama Pandawa
Konsultasi dokter online, ceritakan gejala dan keluhan anda, sebelum terlambat!
Mulai Konsultasi